O caso foi publicado em um relatório do British Medical Journal (BMJ) e os especialistas dizem que a lesão é rara.
Um pênis quebrado também é conhecido como fratura peniana e ocorre quando a camada protetora ao redor do tecido erétil que bombeia o sangue para o pênis é danificada.
Médicos dizem que a sensação é a de um osso quebrando porque a maioria das lesões ocorre durante o sexo, quando o pênis está ereto (duro).
Ele dobra sob pressão e, em seguida, faz com que o sangue vaze e isso geralmente é acompanhado por um som de estalo e dor.
Os médicos disseram que o pênis “se dobrou contra o períneo de sua parceira [a área entre o ânus e a vagina]”. Geralmente ocorre quando a parceira fica por cima de seu parceiro no ato sexual.

Neste caso, tinha um pênis inchado e sua ereção desapareceu gradualmente, enquanto na maioria dos casos a ereção é perdida imediatamente.

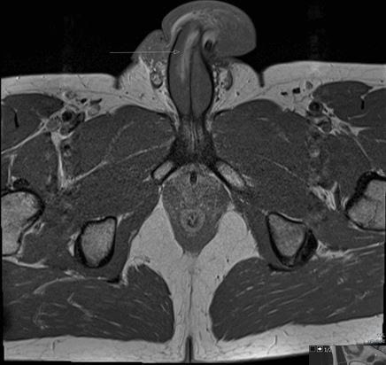
Ao analisar os resultados de uma ressonância magnética, os médicos descobriram que o pênis do homem apresentava um rasgo vertical de três centímetros de comprimento no lado direito.
Estava no meio do tronco, e não em um rasgo horizontal.
Em qualquer caso de fratura peniana, os médicos devem tratá-la em 24 horas, pois pode levar a complicações como disfunção erétil permanente.
O homem passou por uma cirurgia que foi bem-sucedida e agora está totalmente recuperado e pôde fazer sexo novamente, seis meses após a lesão.
Os especialistas concluíram que o caso levanta a questão de saber se uma fratura vertical do pênis “altera ou não a apresentação ou os resultados a longo prazo após o reparo operatório”.
Eles acrescentaram: “Este paciente foi capaz de retomar a atividade sexual dentro de 6 meses da lesão, alcançando ereções da mesma qualidade das anteriores à lesão, não tendo qualquer curvatura peniana ou cicatriz palpável significativa.”




